-

New antimalarial drug candidate shows potential for fighting resistance and reducing malaria transmission

17 December 2025
Photo of a mosquito against a yellow background

Researchers have developed a new antimalarial drug candidate designed to address the growing challenge of drug resistance and potentially reduce malaria transmission.

The first-in-class clinical candidate, MK-7602, has been developed through a longstanding collaboration between WEHI and global biopharmaceutical company MSD (tradename of Merck & Co., Inc., Rahway, N.J., USA).

Pre-clinical research now published in eBiomedicine, a Lancet journal, shows the novel drug candidate targets the malaria parasite at multiple stages of its life cycle, with potential applications for both treating infections and reducing disease spread.

Since the completion of this preclinical research, results from early stage clinical trials continue to provide evidence for the potential of MK-7602 for the treatment of malaria.

At a glance
First-in-class antimalarial drug candidate MK-7602 shows potent activity against both Plasmodium falciparum and Plasmodium vivax, the two most common malaria parasites affecting humans.
Evidence suggests the compound’s dual-action mechanism, targeting two essential parasite enzymes, may help combat the development of drug resistance.
The drug candidate has been developed through a longstanding collaboration between WEHI and MSD, with pre-clinical studies indicating a promising safety profile and pharmacokinetic properties.

Working to advance the fight against malaria

The emergence of drug-resistant parasites has complicated efforts to control and eliminate malaria, which remains a leading cause of preventable illness and death globally, killing an estimated 600,000 people a year.

Children under 5 are the most vulnerable – it is estimated that a child dies of malaria every minute.

The new drug candidate MK-7602 targets the most prevalent malaria parasites in humans, Plasmodium falciparum and Plasmodium vivax, and blocks two essential parasite enzymes, providing a unique dual-action strategy with the potential to reduce the risk of resistance.

Photo of Professor Alan Cowman (WEHI) and Dr David Olsen (MSD) standing side by side
Professor Alan Cowman (WEHI) and Dr David Olsen (MSD).

Professor Alan Cowman AC, lead investigator from WEHI, said new and better treatments for malaria were urgently needed, to drive forward global efforts towards eradication.

“The evaluation of MK-7602 represents an important step in our fight against malaria,” he said.

“Its ability to target multiple stages of the parasite life cycle, combined with its high barrier to resistance, supports our ongoing efforts to find new ways to combat this devastating disease for patients who need the hope of new treatments.”

MSD scientist and Discovery lead Dr David Olsen said: “The development of MK-7602 exemplifies our commitment to addressing critical global health challenges through innovative research.

“We are encouraged by these results and look forward to further investigating this candidate as a potential new tool in malaria control and elimination efforts.”

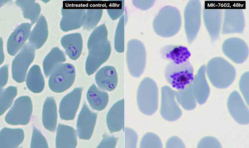
These images show the malaria parasites before and after treatment. On the left, the parasites (in purple) are spread out, actively invading human red blood cells (in blue). But when the MK-7602 drug candidate was used, it was able to successfully trap the parasites inside the red blood cells (shown in the clusters on the right) – halting the malaria cycle in its tracks and preventing further transmission.

Collaborative drug development effort

The close research collaboration between WEHI and MSD, spanning almost a decade, used the advanced screening technologies at WEHI’s National Drug Discovery Centre, which were instrumental in identifying and optimising the compound.

The new study combined mouse models and laboratory tests using human blood cells to evaluate the activity of MK-7602 against malaria parasites at multiple life stages, including the blood, liver and transmission stages.

Its mechanism targets two essential parasite enzymes, Plasmepsin IX and X, with the goal of creating a high barrier to the development of resistance.

MK-7602 has since completed Phase 1 safety and tolerability studies. Results of a Phase 1b clinical trial evaluating the activity of MK-7602 against P. falciparum blood stage infection in healthy adult participants (NCT06294912) were recently presented at the American Society of Tropical Medicine & Hygiene (ASTMH) meeting.

Further studies are needed to fully assess the efficacy and safety of MK-7602 in diverse patient populations and real-world settings.

This research was supported by Wellcome, Drakensberg Trust and the National Health and Medical Research Council of Australia.

Some of the researchers behind the critical findings: Dr Tup Reaksudsan, Dr Stephen Scally, Professor Alan Cowman, Associate Professor Justin Boddey, Dr Paola Favuzza, Professor Tony Papenfuss, Anna Ngo, Dr Madeline Dans, Dr Kym Lowes, Dr Jerzy Dziekan.
Related topics
Key Researchers
Laboratory Head
Senior Research Officer
Media Enquiries
Reference
MK-7602: a potent multi-stage dual-targeting antimalarial
Journal
eBiomedicine
DOI
10.1016/j.ebiom.2025.106061
Full details
WEHI Authors
Laboratory Head
Senior Research Officer
High definition image of a mosquito
New antimalarial drug candidate shows potential for fighting resistance and reducing malaria transmission
Kitsanapong Reaksudsan
Kitsanapong Reaksudsan
Ryan Steel
Ryan Steel
Anthony Hodder
Anthony Hodder
Anna Ngo
Research Assistant
Senior Research Officer
Jennifer Thompson
Jennifer Thompson
Tony Triglia
Tony Triglia
Senior Research Scientist (Laboratory)
Jocelyn Penington
Research Assistant
Senior Research Scientist (Laboratory)
Senior Research Officer
Deputy Director
Head, Screening Lab & Joint Head, NDDC (Screening)
Laboratory Head
Laboratory Head
Laboratory Head
Support us

Together we can create a brighter future

Your support will help WEHI’s researchers make discoveries and find treatments to ensure healthier, longer lives for you and your loved ones.

Sign up to our quarterly newsletter Illuminate

Find out about recent discoveries, community supporters and more.

Illuminate Summer 2025
View the current issue