-

World-first clinical trial reveals unprecedented insights into brain cancer treatment  

23 August 2025

Victorian brain cancer researchers have achieved a global-first, using an innovative process to learn how a new drug suppresses tumour activity and provides hope to patients with low-grade gliomas (LGG).

It’s the first clinical trial to be conducted through the pioneering Brain Perioperative platform, or “BrainPOP”, which is led by The Brain Cancer Centre and funded by the Victorian Government.

LGGs are a slow-growing type of brain cancer that significantly impact the lives of patients—many of whom are young adults in their prime. Characterised by a specific mutation in a gene called IDH, current treatments are limited and LGG have long been considered incurable.

But a new treatment is on the horizon, thanks to the discovery of mutations in LGG and a new and innovative process for treating them.

Using a drug called Safusidenib – an oral inhibitor targeting the mutated IDH1 gene – researchers from the Royal Melbourne Hospital (RMH), WEHI and the Peter MacCallum Cancer Centre (Peter Mac) observed the drug’s effect on LGGs tumour samples both before and after treatment.

And the results have been promising, with the proof of principle study published in the prestigious journal Nature Medicine.

“We want Victorian brain tumour patients to have care that is equal to anywhere in the world,” Professor Kate Drummond, Director of Neurosurgery at the RMH and the trial’s lead investigator, said.

“This trial is not only a revolution in the way we test new treatments but brings new opportunities for this most deserving group of patients with a devastating disease.”

Prof Drummond said the response from patients had been overwhelmingly positive, with many excited to be part of the innovative trial, “even though the trial required two operations and intensive treatment”.

“Brain cancer patients are desperate for new treatments, and clinical trials like this are exactly what is needed,” Prof Drummond said.

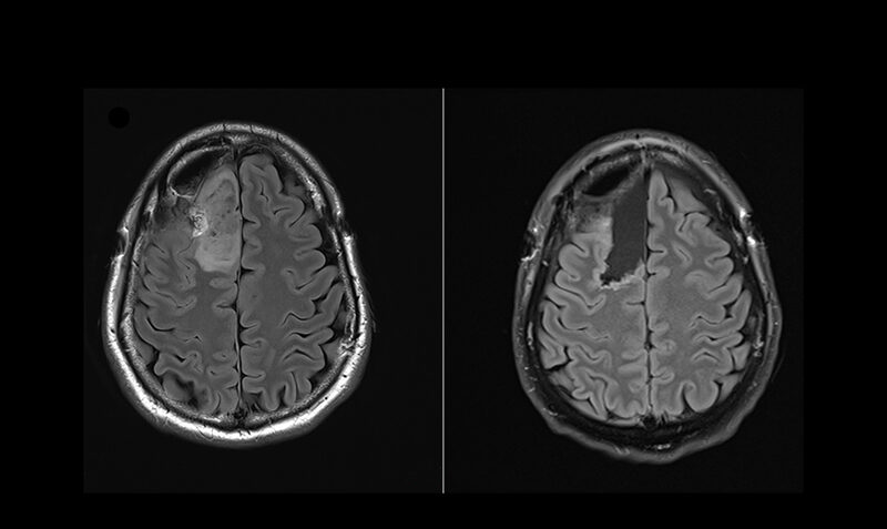
Brain scans from a patient in the world-first clinical trial, where researchers were able to compare tumour samples taken before treatment (left) and after treatment (right). The pioneering Brain Perioperative clinical trial platform aims to accelerate drug development and improve outcomes for brain cancer patients.

Investment in brain cancer research

Dr Jim Whittle is a medical oncologist specialising in neuro-oncology at Peter Mac, and Laboratory Head at The Brain Cancer Centre and WEHI.

Dr Whittle said perioperative clinical trials – where surgical biopsies are taken before and after treatment – were regularly used in other cancers to understand the true effect of new and emerging treatments.

“These types of trials are vital for advancing drug development but with the complex and sensitive nature of neurosurgeries, this approach has not previously been used in brain cancer,” he said.

“This new study reveals the power of BrainPOP as a safe and effective platform for accelerating our understanding of new treatments and their real-world impact in the brain.

“For the first time, we’ve seen what a drug is doing in the brain with incredible detail, helping us to clearly identify the next steps for personalising treatment and predicting who would most benefit.”

The trial was supported by an incredible $16m investment from the Victorian Government and involved patients who had not yet undergone radiation or chemotherapy. Trial participants took the drug prior to any other cancer treatment – a world first for IDH inhibitors.

The trial was designed to assess the activity of this novel treatment within the brain and it is too soon to know if, ultimately, these medications will improve outcomes or extend lives for these patients.

Plans are now underway for pivotal studies of Safusidenib in diffuse IDH1 mutant gliomas.

“We are deeply grateful for the Victorian Government’s support for the BrainPOP platform, which is vital to our ultimate goal of radically transforming outcomes for patients with brain cancer,” Dr Whittle said.

Victorian Minister for Economic Growth and Jobs Danny Pearson said these results are promising for brain cancer patients.

“We will continue to support our world class researchers to make these life-changing discoveries, and cementing Victoria as a leader in medical research,” he said.

Analysis of brain tumour samples before (left) and after treatment (right) revealed increased immune activation (shown in green), following treatment with the IDH inhibitor.

Pioneering perioperative trial

Further trials using the BrainPOP platform are already in development. Patients that meet the entry criteria are offered to join the trials by their treating practitioners at participating hospitals.

The new study drew on the clinical and surgical expertise of the RMH, including Prof Drummond, and the multidisciplinary approach of WEHI’s Brain Cancer Research Laboratory – co-led by Dr Whittle, Dr Sarah Best and Dr Saskia Freytag – which combines deep knowledge of clinical oncology, fundamental cancer biology and bioinformatics to accelerate research outcomes.

Collaborators included University of Melbourne, The Florey, Metabolomics Australia and MoleQlar Analytics (Germany). The research was supported by AnHeart Therapeutics, a Nuvation Bio Company, and the Victorian Government.

The study, “Perioperative IDH inhibition in treatment-naïve IDH mutant glioma: a pilot trial”, with senior authors Prof Drummond, Dr Whittle, Dr Best and Dr Freytag, is published in Nature Medicine.

Founded by Carrie’s Beanies 4 Brain Cancer, The Brain Cancer Centre was established in 2021 in partnership with WEHI and with support from the Victorian Government.

Header image: The BrainPOP research team (left to right): Professor Kate Drummond, Dr Jim Whittle, Dr Saskia Freytag, Dr Sarah Best.

Related topics
Key Researchers
Laboratory Head
Laboratory Head
Laboratory Head
Media Enquiries
References
Perioperative IDH inhibition in treatment-naïve IDH mutant glioma: a pilot trial
Journal
Nature Medicine
DOI
10.1038/s41591-025-03884-4
Full details
WEHI Authors
Laboratory Head
Laboratory Head
Laboratory Head
PhD Student
PhD Student
Robert Tobler
Robert Tobler
Dr Adam Valkovic
Research Assistant
World-first clinical trial reveals unprecedented insights into brain cancer treatment  
Dr Jurgen Kriel
Senior Research Officer
PhD Student
Support us

Together we can create a brighter future

Your support will help WEHI’s researchers make discoveries and find treatments to ensure healthier, longer lives for you and your loved ones.

Sign up to our quarterly newsletter Illuminate

Find out about recent discoveries, community supporters and more.

Illuminate Summer 2025
View the current issue