-

Fast food, fast impact: How fatty meals rapidly weaken our gut defences 

19 May 2025

A WEHI-led study has become the first in the world to unravel the immediate effects of a high-fat diet on our gut health.

The pre-clinical study found even a few meals high in saturated fats can cause inflammation in the body, despite physical symptoms – in the form of chronic inflammation – potentially taking years to appear.

The landmark findings are the first to show how rapidly the foods we eat can impact our gut defences, paving the way for future interventions that could boost gut health and tackle chronic inflammation.

At a glance
A landmark study has highlighted how our daily food choices can have an immediate effect on our gut health. 
Researchers discovered the gut protective protein, IL-22, was rapidly depleted in mice after just two days of eating high-fat foods.
It’s hoped the findings will influence dietary guidelines centred around ways to naturally boost our gut protection and help lead to new future methods to restore or boost gut function for people living with chronic inflammatory diseases, like inflammatory bowel disease.

A silent threat to gut health

About one in three Australians currently live with chronic inflammatory disease, like coeliac disease, inflammatory bowel disease and rheumatoid arthritis.

But how this inflammation arises and causes disease remains largely unknown.

Dr Cyril Seillet, a senior author on the paper, said the team’s findings were a significant breakthrough that could help pinpoint how chronic inflammation occurs at the source.

“We’ve shown that every meal we consume actively shapes our gut health,” Dr Seillet said.

“The more saturated fats we eat, the more inflammation that builds up – gradually weakening our gut defences and increasing our susceptibility to chronic inflammation.

“But this inflammation build-up is initially silent, remaining hidden in our bodies until years later, where it can present as chronic inflammation.”

Researchers were able to detect microscopic changes to the gut health and function in mice even after a few high-fat meals, despite the mice lacking any visible symptoms of inflammation, such as weight gain.

“This shows how easily inflammation can develop without immediate warning signs,” Dr Seillet said.

“While occasional high-fat meals won’t impair your gut protection barrier, a consistent diet that is high in saturated fats is laying the foundation for chronic gut inflammation to present in future.”

L – R: Dr Cyril Seillet, senior author on the paper, and Dr Le Xiong, first author.
L – R: Dr Cyril Seillet, senior author on the paper, and Dr Le Xiong, first author.

Rapid immune response 

In the study, with senior author and WEHI Laboratory Head Professor Stephen Nutt, researchers also found short-term exposure to high-fat diets can reduce the production of IL-22, a crucial protein that helps control gut inflammation.

It’s the first time the rapid impact of high fat diets on this protein has been shown.

Researchers also found that short-term exposure to high-fat diets can reduce the production of IL-22, a crucial protein that helps control gut inflammation. It’s the first time the rapid impact of high fat diets on this protein has been shown.

First author on the paper, Le Xiong, said high-fat diets were a double hit to our gut barrier because they not only promoted inflammation, but also disabled the body’s ability to fight it.

“IL-22 is a critically important protein for gut health and protection. Without it, the gut loses its ability to prevent inflammation,” Le Xiong said.

“It took only two days of consuming high-fat foods for the mice to lose their IL-22 stores and have an impaired gut function.

“Despite their gut protection capabilities being stripped away, the mice still looked healthy – highlighting how gut health can be compromised long before any visible symptoms appear.”

The team observed that while saturated fats suppress IL-22 production, unsaturated fats, like those found in nuts and avocados, actually do the opposite and boost the protein’s production – a pattern researchers believe would be replicated in humans.

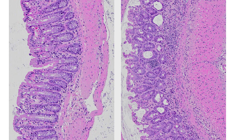
Microscopic images of sections of the colon from mice. Mice fed a normal diet (left) have healthy, well-organised gut tissues. In contrast, mice fed a diet high in fat (right) have disrupted gut tissue, a thickening of the gut wall (pink) and an accumulation of immune cells (purple dots) – clear signs of inflammatory bowel disease.
Microscopic images of sections of the colon from mice. Mice fed a normal diet (left) have healthy, well-organised gut tissues. In contrast, mice fed a diet high in fat (right) have disrupted gut tissue, a thickening of the gut wall (pink) and an accumulation of immune cells (purple dots) – clear signs of inflammatory bowel disease.

Therapeutic intervention potential

Researchers were able to rebuild the gut function of the mice in the study by restoring their IL-22 levels – highlighting the potential of creating a therapeutic intervention that can also restore gut health in humans.

But researchers want to first focus on ways to naturally boost IL-22 levels.

The team hopes their findings will influence dietary guidelines that emphasise the importance of incorporating unsaturated fats into our diets to naturally boost gut protection, while also promoting better nutrition-based strategies for people at risk of chronic inflammatory diseases.

This research is supported by the National Health and Medical Research Council (NHMRC) and involved collaborations with Monash University, the Baker Institute and the Department of Anatomy and Physiology at the University of Melbourne.

Header image: Innate lymphoid cells 3 (ILC3s) are a subset of immune cells that are critical to gut immunity. When there is excess fat, such as after a rich meal, ILC3s store this fat in tiny lipid droplets to maintain their function. In this 3D illustration, we can see a lipid droplet (in orange) inside an ILC3.

Related topics
Key Researchers
Le Xiong
Research Officer
Laboratory Head
Media Enquiries
References
Acute Exposure To High Fat Diet Impairs ILC3 Functions And Gut Homeostasis
Journal
Immunity
DOI
10.1016/j.immuni.2025.03.017
Full details
WEHI Authors
Le Xiong
Research Officer
Laboratory Head
Cyril Seillet
Cyril Seillet
Shengbo Zhang
Senior Research Officer
Alexandra Garham
Alexandra Garham
Support us

Together we can create a brighter future

Your support will help WEHI’s researchers make discoveries and find treatments to ensure healthier, longer lives for you and your loved ones.

Sign up to our quarterly newsletter Illuminate

Find out about recent discoveries, community supporters and more.

Illuminate Summer 2025
View the current issue